Conservativa

Ripristino dell'integrità naturale

Odontoiatria conservativa

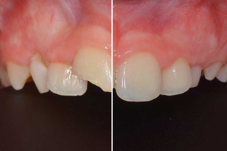
L’odontoiatria conservativa si occupa della ricostruzione dei denti la cui integrità è stata compromessa da carie traumi usure o difetti congenit.

A seconda della estensione della cavità i denti possono essere ricostruiti direttamente in bocca con otturazioni o, quando la struttura è gravemente compromessa, vengono realizzati degli intarsi.
Il tutto viene eseguito con l’utilizzo della diga di gomma, una barriera indispensabile che isola il campo operatorio creando miglior visibilità per l’operatore e protezione per il paziente, garantendo migliore adesione dei nostri materiali.
I materiali impiegati per le otturazioni sono compositi di ultima generazione mentre per gli intarsi si utilizzano vetroceramiche. Entrambi sono estetici, atossici, offrono un’ottima resistenza all’usura e alla durata nel tempo.

Conservativa Prima 1 Conservativa Dopo

Viale Gebel, 13

47922 Rimini RN

Chiamaci

0541 721403

Scrivici su WhatsApp

+393347024703

Scrivici

info@orioriccardi.it