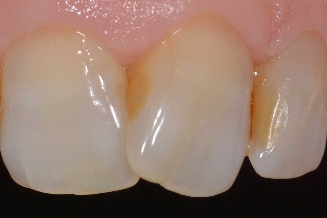
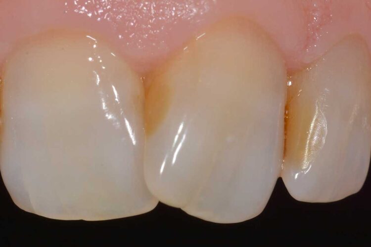
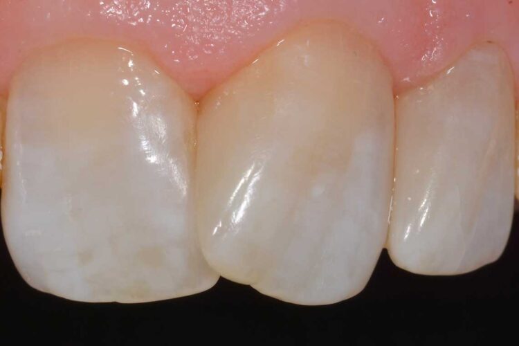
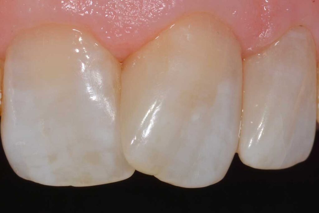
Odontoiatria Conservativa – Otturazione Anteriore

Viale Gebel, 13

47922 Rimini RN

Chiamaci

0541 721403

Scrivici su WhatsApp

+393347024703

Scrivici

info@orioriccardi.it