Ortodonzia
È la disciplina che studia, previene e tratta le anomalie di crescita e sviluppo dei denti e delle ossa del viso.
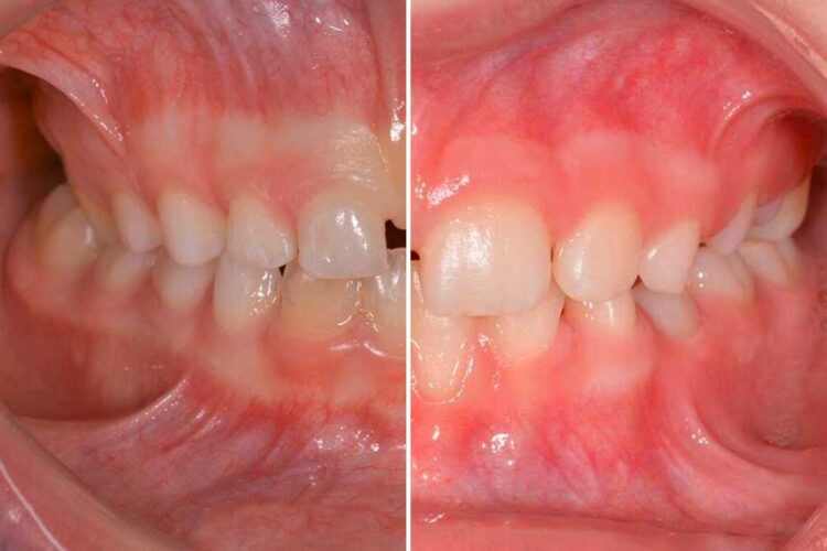
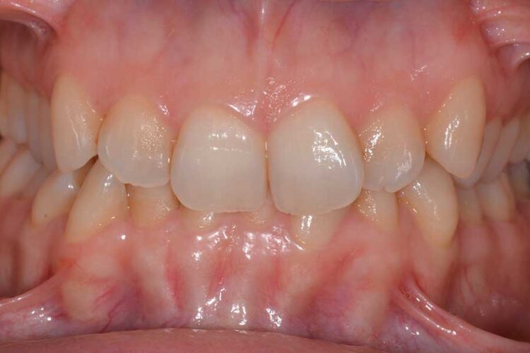
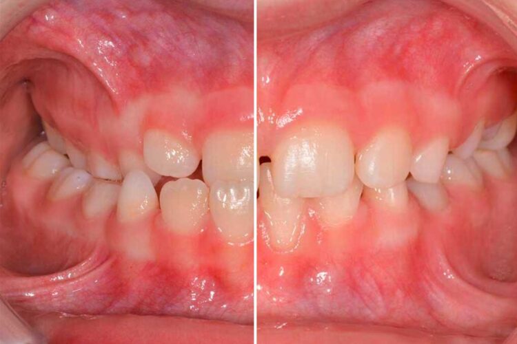
Queste anomalie vengono definite malocclusioni.
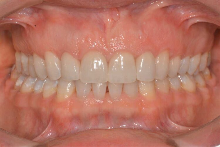
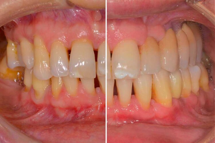
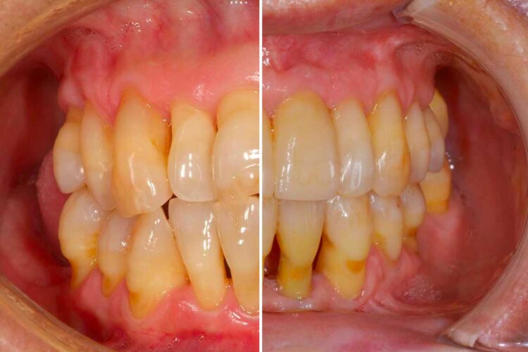
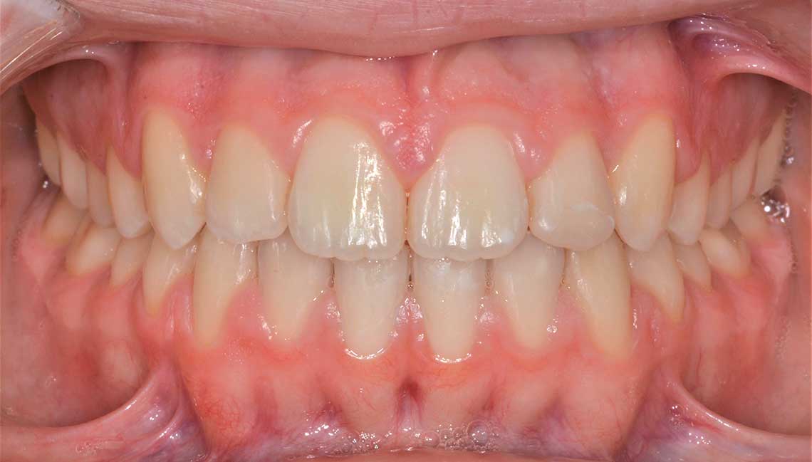
L’obiettivo di un trattamento ortodontico è il raggiungimento di una occlusione dentale ideale che porterà nel contempo ad un miglioramento della funzione e dell’ estetica del sorriso.
I trattamenti sono rivolti a bambini nella prima infanzia (ortodonzia intercettiva) , agli adolescenti (al passaggio dalla dentizione da latte a quella permanente) e agli adulti, senza limiti di età .
I dispositivi terapeutici impiegati comprendono apparecchi rimovibili, dispositivi fissi (brackets estetici o metallici) o mascherine trasparenti rimovibili (allineatori).