Protesi

Protesi

La terapia protesica si divide in mobile e fissa, entrambe le procedure hanno lo scopo di restaurare o sostituire gli elementi dentali danneggiati o persi.

La protesi mobile si avvale di dispositivi quali gli scheletrati provvisti di ganci di ritenzione o attacchi di precisione che mantengono stabile la protesi, ancorandosi alla dentatura residua.
Nel caso il paziente sia edentulo in una o entrambe le arcate si ricorre ad una protesi mobile totale (dentiera) realizzata in resina, affidandone la ritenzione all’intima adesione con i tessuti orali.
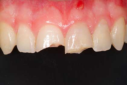
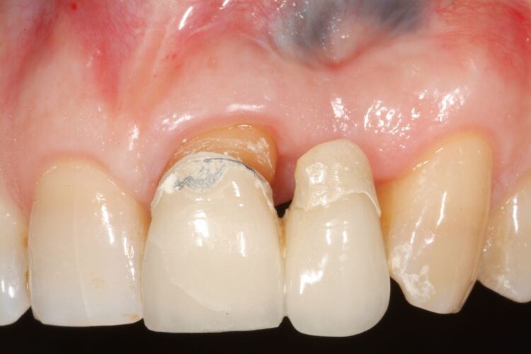
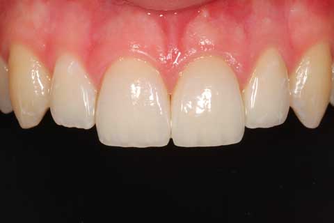
La protesi fissa si avvale di manufatti protesici realizzati dal team odontotecnico con i quali possiamo restaurare o sostituire gli elementi dentari tramite corone o ponti cementati definitivamente.
I materiali impiegati per la loro realizzazione vengono selezionati in base alle necessità funzionali ed estetiche delle diverse situazioni cliniche. Tra essi annoveriamo la metallo ceramica, la zirconia e le vetroceramiche.
Il nostro laboratorio si avvale principalmente di metodologie e procedure realizzative di ultima generazione, quali quelle digitali, dove l’intero flusso di lavoro viene gestito da sistematiche CAD-CAM che garantiscono alti livelli di precisione, affidabilità ed estetica.

Viale Gebel, 13

47922 Rimini RN

Chiamaci

0541 721403

Scrivici su WhatsApp

+393347024703

Scrivici

info@orioriccardi.it