Prima
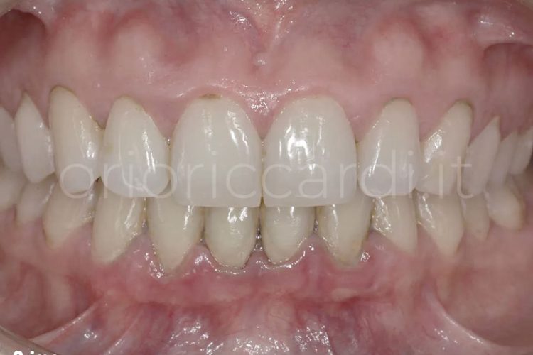
Dopo
I nostri obiettivi primari sono il raggiungimento di uno stato di salute che soddisfi pienamente i requisiti funzionali ed estetici dei nostri pazienti.
© 2024 Dr. Orio Riccardi. Tutti i diritti riservati. - Privacy Policy
Realizzazione siti web by webMT.it